
Bazofiller ve Mast Hücreleri: Morfolojik Özellikler, Temel İşlevler ve Klinik Önemi
Sağlıklı memeli canlılarında kan dolaşımında oldukça düşük bir oranda (%1'den az) bulunan bazofiller, bağışıklık sisteminin önemli bir parçası olan nadir granülositlerdir. Genellikle sayıları 200 hücre/μL'nin altında seyreder. Kemik iliğinde üretilen bu hücreler, dokularda bulunan mast hücreleri ile ortak bir kök hücreden köken alsalar da, mast hücrelerine dönüşmezler. Her iki hücre tipi benzer işlevlere sahip olmakla birlikte, hücresel organel sayıları ve granül yapıları bakımından belirgin farklılıklar gösterirler. Bu yazımızda, bazofillerin ve mast hücrelerinin morfolojik özelliklerini, temel işlevlerini ve çeşitli klinik durumlarla olan ilişkilerini detaylı bir şekilde inceleyeceğiz.
Bazofil Morfolojisi ve Türler Arası Farklılıklar
Bazofiller, diğer granülositlere kıyasla bazı ayırt edici morfolojik özelliklere sahiptir. Ayrıca, farklı hayvan türlerinde de bazofillerin görünümünde bazı farklılıklar gözlemlenebilir.
Genel Morfolojik Özellikler:
- Granüller: Bazofillerin sitoplazmasında, diğer granülositlere (nötrofil ve eozinofil) göre daha az sayıda, farklı şekil ve irilikte granüller bulunur. Bu granüller, Giemsa ve Wright boyaları ile karakteristik olarak mavi renkte boyanırlar. Ayrıca, toluidin mavisi ve tionin gibi özel boyalarla metakromazi adı verilen farklı bir renklenme (mor-kırmızı) gösterirler; bu durum granüllerin içerdiği heparin molekülünden kaynaklanır.
- Yarı Ömür: Periferik kanda oldukça kısa bir yarı ömre sahiptirler (yaklaşık 6 saat). Ancak, inflamatuvar mediatörlere (iltihap aracılar) yanıt olarak dokulara çekildiklerinde, hayatta kalma süreleri 2 haftaya kadar uzayabilir.
Köpek Bazofili:
- Boyut: Çapları genellikle 12 ila 20 μm arasındadır, bu da onları nötrofillerle benzer büyüklükte veya biraz daha büyük yapar.
- Çekirdek: Çekirdekleri segmentli ve lobüle bir yapıya sahiptir, tıpkı nötrofillerde olduğu gibi.
- Sitoplazma: Sitoplazmaları açık mor veya gri renkte olup, içerisinde az sayıda koyu renkli bazofilik granül bulunur. Bazı köpek bazofillerinde granüller oldukça seyrek olabilir veya hiç bulunmayabilir.
Kedi Bazofili:
- Boyut: Çapları 12 ila 20 μm arasında değişir ve nötrofillerden biraz daha büyük olabilirler.
- Çekirdek: Çekirdekleri açık renkli, düz kromatinli ve segmentli lobüle bir yapıya sahiptir.
- Sitoplazma: Sitoplazmaları çok sayıda yuvarlak ve lavanta renginde granül içerir. Bu granüller sitoplazmayı neredeyse tamamen doldurarak çekirdeğe güve yeniği benzeri karakteristik bir görünüm verir.
Bazofillerin Temel İşlevleri:
Bazofiller, bağışıklık sistemi ve inflamasyon süreçlerinde çeşitli önemli rollere sahiptirler:
- Histamin ve Heparin İçeriği: Bazofillerin granülleri, önemli mediyatörler olan histamin ve heparin içerir. Histaminin salınımı, ürtiker (kurdeşen), anafilaksi (şiddetli alerjik reaksiyon) ve akut alerjik reaksiyonlar gibi durumlarda kritik bir rol oynar.
- Enflamasyon ve Pıhtılaşma: Granüllerde bulunan heparin, inflamatuvar yanıtta ve kanın pıhtılaşmasının engellenmesinde önemli bir moleküldür.
- Sitokin Sentezi: Aktive olmuş bazofiller, inflamatuvar yanıtı başlatan veya düzenleyen çeşitli sitokinleri (bağışıklık sistemi hücreleri arasındaki iletişim molekülleri) sentezleyerek bağışıklık sisteminin karmaşık işleyişine katkıda bulunurlar.
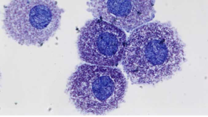
Mast Hücreleri ile Karşılaştırma:
Bazofiller ve mast hücreleri, alerjik reaksiyonlarda ve inflamasyonda benzer rollere sahip olsalar da, bazı morfolojik ve dağılımsal farklılıklar gösterirler:
- Boyut ve Görünüm: Mast hücreleri, kedi ve köpeklerdeki bazofillerle benzer boyutlardadırlar.
- Çekirdek: Mast hücrelerinde sitoplazmada genellikle yuvarlak, oval veya eksantrik (kenara yakın) yerleşimli tek bir çekirdek bulunur.
- Sitoplazma: Mast hücreleri, çok sayıda küçük, yuvarlak ve koyu mor renkli granül içerirler. Bu granüller sitoplazmayı yoğun bir şekilde doldurarak çekirdeğin bir kısmını örtebilirler.
- Periferik Kanda Görünürlük: Mast hücreleri, sağlıklı hayvanların periferik kanında nadiren görülürler. Aksine, bazofiller normalde kanda bulunurlar. Mast hücreleri daha çok dokularda (örneğin deri, akciğerler, sindirim sistemi) yerleşiktirler.
Klinik Durumlar ve Bazofil Sayısındaki Değişikliklerin Önemi:
Bazofil sayısındaki artış (bazofili) veya azalma (bazopeni), çeşitli klinik durumlarla ilişkilendirilebilir ve veteriner hekimler için önemli tanısal ipuçları sunabilir.
Bazofili:
Bazofili, periferik kandaki bazofil sayısının genellikle 200-300/μL'nin üzerine çıktığı durumlarda düşünülmelidir. Çoğu zaman eozinofili (eozinofil sayısında artış) ile birlikte görülür ve özellikle IgE aracılı aşırı duyarlılık bozuklukları ile ilişkilidir. Bazofiliye yol açabilecek bazı durumlar şunlardır:
- Alerji ve Aşırı Duyarlılık Reaksiyonları: Çeşitli alerjenlere karşı gelişen reaksiyonlar bazofil sayısını artırabilir.
- Parazit Enfeksiyonları: Özellikle bazı nematodlar (yuvarlak kurtlar), kelebek larvaları, Dirofilaria immitis (kalp kurdu), kene istilası veya pire alerjisi gibi parazit enfeksiyonları bazofiliye neden olabilir.
- Hiperlipemi: Yüksek kan lipit seviyeleri, metabolik veya endokrin bozukluklarla ilişkili olarak bazofil sayısını etkileyebilir.
- Bazofilik Lösemi: Son derece nadir görülen bir miyeloproliferatif neoplazm (kemik iliğinde kan hücrelerinin kontrolsüz çoğalması).
Bazopeni:
Bazopeni, periferik kandaki bazofil sayısında azalma durumudur ve genellikle aşağıdaki gibi durumlarla ilişkilendirilebilir:
- Şiddetli Enfeksiyonlar: Vücudun ciddi bir enfeksiyonla mücadele ettiği durumlarda bazofil sayısı geçici olarak azalabilir.
- Tiroid Bozuklukları: Özellikle hipertroidizm (tiroid bezinin aşırı çalışması) bazopeniye yol açabilir.
- Uzun Süreli Kortikosteroid Kullanımı: Kortikosteroid ilaçların uzun süreli kullanımı bazofil sayısını düşürebilir.
- Stres: Şiddetli veya kronik stres durumları da bazopeniye neden olabilir.
Sonuç:
Bazofiller, bağışıklık yanıtı ve inflamasyon süreçlerinde kritik roller oynayan, kanda az sayıda bulunan ancak önemli granülositlerdir. Morfolojik özellikleri ve işlevleri bakımından dokudaki mast hücreleriyle benzerlikler gösterirler. Veterinerlik pratiğinde bazofili ve bazopeni gibi durumların doğru bir şekilde tanınması, alerjik ve paraziter hastalıkların teşhis ve tedavisinin yanı sıra altta yatan metabolik bozuklukların değerlendirilmesinde de büyük önem taşımaktadır. Bu kapsamlı inceleme, bazofillerin ve mast hücrelerinin morfolojisi, işlevleri ve klinik önemi hakkında detaylı bilgi sunarak, veteriner hekimler ve araştırmacılar için değerli bir kaynak oluşturmaktadır.
