
Kedilerde Lenfoma: Sinsi Kanser ve Tedavi Yaklaşımları
Lenfoma, kedilerin bağışıklık sisteminin önemli bir parçası olan lenfositleri etkileyen sistemik bir kanser türüdür. Lenfositler, kedinizin vücudunda kan ve lenfatik damarlar aracılığıyla sürekli olarak dolaşım halindedir. Bu durum, özellikle kedi lösemi virüsü (FeLV) enfeksiyonu ile yakından ilişkilidir.
Kedilerde Lenfomanın Yaygınlığı ve FeLV İlişkisi
Lenfositlerin kedinin vücudunun her yerinde bulunması, lenfomanın birçok farklı organda gelişebileceği anlamına gelir. Kedi lösemi virüsü (FeLV), uzun yıllardır kedilerde lenfomanın önemli bir nedeni olarak bilinmektedir. FeLV ile enfekte kedilerde lenfoma gelişme riski önemli ölçüde artar. 1985 yılında FeLV aşısının geliştirilmesinden önce, lenfomalı kedilerin (çoğunlukla genç hayvanlar) yaklaşık %70'i FeLV pozitifti.
Kedilerde tanımlanan en kötü huylu (malign) tümörlerden biri olan lenfomanın en yaygın şekli sindirimsel lenfomadır.

Sindirimsel Lenfoma ve Klinik Belirtileri
Sindirimsel lenfoma tipik olarak ince bağırsaklarda, midede, mezenterik lenf düğümlerinde ve karaciğerde lezyonlara neden olur. Kedilerde lenfomanın iki ana tipi rapor edilmiştir: lenfositik (küçük hücreli, düşük dereceli) ve lenfoblastik (büyük hücreli, yüksek dereceli) lenfoma.
Küçük hücreli lenfomada, genellikle yavaş ilerleyen bir süreçle kronik kilo kaybı görülür. Bağırsaklar kalınlaşabilir ve karın muayenesinde mezenteriyal lenf yumruları palpe edilebilir (elle hissedilebilir). Kedilerde gözlemlenen tek klinik bulgu uzun süreli kilo kaybı ve uyuşukluk olabilirken, bazı vakalarda kusma ve ishal gibi akut semptomlarla da başlayabilir.
Büyük hücreli lenfomada ise sindirim sistemindeki lezyonlara ek olarak dalakta, periferik lenf düğümlerinde, torasik lenf düğümlerinde ve hatta kemik iliğinde de tümöral gelişim görülebilir.
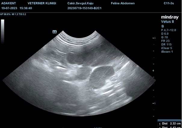
Takip edilen hastamızda da karın palpasyonunda fark edilen şişlik, ultrasonografik görüntüleme ile doğrulanmıştır.
Lenfoma Tedavi Protokolleri
Lenfoma tedavisinde genellikle COP, CHOP protokolleri veya bu protokollerin çeşitli kombinasyonları uygulanmaktadır. Kemoterapi sürecinde, gastrointestinal lenfoma ile benzer yan etkiler (kusma, iştah azalması, kilo kaybı) görülebilir. Bu nedenle, ilaç seçimini bu potansiyel yan etkileri göz önünde bulundurarak yapmak önemlidir.
Küçük hücreli lenfomada, prednisolon ile klorambusilin kombinasyonunun etkinliği kanıtlanmıştır. Bu protokoller genellikle iyi tolere edilir. Bildirilen yan etkiler arasında hafif ila orta derecede gastrointestinal belirtiler ve kemik iliği baskılanması (miyelosupresyon) yer alır. Ancak, özellikle kronik böbrek yetmezliği ve diyabet gibi eşlik eden sağlık sorunları yoksa, tedavinin faydaları risklerden daha ağır basar.
Aşağıdaki tabloda küçük hücreli lenfoma için bazı tedavi protokolleri ve sonuçları özetlenmektedir:
| PROTOKOL | YANIT ORANI | YANIT ORANI SONUCU | REFERANS |
| Prednisolon 10 mg PO 24h 1 kez Klorambusil 15 mg/m2 PO her 3 haftada bir 4 gün süreyle | %69 CR | CR Süresi 16 gün Hayatta kalma 17 | 8 |
| Prednisolon 5-10 mg 12-24 saatte 1 Klorambusil 2 mg PO 48-72 Saatte bir | %56 CR %39 PR | CR süresi 29.4 PR süresi 14 Hayatta kalma 23 | 5 |
| Prednisolon 3 mg/kg PO 24 saatte bir CR’ye kadar, ardından 1-2 mg/kg 24 saate bir Klorambusil 15mg/m2 pO 24 Saatte bir 3 haftada bir 4 gün | %76 CR | CR 18.9 Hayatta kalma 14.9 | 6 |
| Prednisolon 1 hafta boyunca değiştirildi ardından 1 mg/kg PO 48 saatte bir dozuna azaltıldı. Klorambusil 20 mg /m2 pO Her biri 2 hafta | %96 Klinik iyileşme | Klinik remisyon süresi 25.8 Hayatta kalma bildirilmedi. | 7 |
Kurtarma Terapileri
Tedaviye yanıt vermeyen veya nükseden lenfoma vakalarında kurtarma terapileri uygulanabilir.
Büyük Hücreli Lenfoma
Büyük hücreli lenfomalı kediler için kurtarma kemoterapisi seçenekleri hakkında sınırlı sayıda çalışma bulunmaktadır ve etkinliği genellikle düşüktür. Lomustin (CCNU) gastrointestinal olmayan büyük hücreli lenfomalı kediler için umut verici bir seçenek gibi görünürken, büyük hücreli lenfomalı kedilerde doksorubisine yanıt oranı %0'dır.
Bağırsak lenfomalı 11 kedide karın boşluğuna uygulanan radyasyon tedavisi bir kurtarma tedavisi olarak rapor edilmiştir. Çoğu kedide radyasyon tedavisi 4 Gy'lik 2 fraksiyon halinde uygulanmıştır. Tedavi genellikle iyi tolere edilmiş olup, yanıt veren 10 kedide ortalama hayatta kalma süresi 214 gün olarak bildirilmiştir. Büyük hücreli lenfomalı kedilerde radyasyon tedavisinin ne kadar faydalı olabileceğine dair daha fazla çalışmaya ihtiyaç vardır.
Küçük Hücreli Lenfoma
Küçük hücreli lenfomalı kedilerin çoğu tedaviye iyi yanıt verse de, bazıları yanıt vermeyebilir veya zamanla nüksedebilir ve klorambusile karşı direnç geliştirebilir. Küçük hücreli lenfomalı kedilerde kurtarma kemoterapisi için öncelikli seçenekler siklofosfamid ve lomustin gibi diğer kemoterapötik ajanlardır.
Vücut Kondisyon Skoru ve Vücut Ağırlığı
Kedi lenfomasında düşük vücut ağırlığının prognostik (hastalığın seyri hakkında bilgi veren) etkisi iyi belgelenmiştir; vücut ağırlığı daha düşük olan kedilerin hayatta kalma süreleri daha kısadır. Vücut kondisyon skorunun (BCS) ve kilonun etkisini inceleyen bir çalışma, BCS'si 5'in altında olan kedilerin, tüm kanserli kedilerde ve özellikle lenfomalı kedilerde önemli ölçüde daha kısa hayatta kalma süresine sahip olduğunu göstermiştir.
Daha zayıf ve vücut kondisyon skoru düşük olan kedilerin hastalıklarının daha ilerlemiş olması, kanser tedavisine daha az duyarlı ve toleranslı olması muhtemeldir. Tedaviye yanıt vermeyen veya tolere edemeyen kedilerin kilo vermeye devam etmesi beklenirken, iyi yanıt veren hastalar kilo alabilir. Yakın zamanda yapılan bir çalışmada, lenfomalı kedilerin hayatta kalma süresi üzerindeki zaman içindeki ağırlık değişikliklerinin etkisi değerlendirilmiştir. Çalışmaya büyük ve küçük hücreli lenfomalı kediler dahil edilmiş ve tedavi başlangıcında ve sonraki 1, 2, 3 ve 6 aylarda ağırlık ölçümleri kaydedilmiştir. İlginç bir şekilde, başlangıçtaki vücut ağırlığının hayatta kalma süresini öngörmediği bulunmuştur.
Ancak, tedaviye başladıktan 1 ay sonra başlangıç ağırlığına kıyasla vücut ağırlığının %5'inden fazlasını kaybeden kedilerin, sabit veya artan ağırlığa sahip kedilere kıyasla hayatta kalma süresinin önemli ölçüde daha kısa olduğu tespit edilmiştir.
Lenfomadan şüphelendiğimiz hastanın ilk mezenteriyal lenf nodu cerrahisi sonrası metastaz nedeniyle çekilen tarama BT raporu da bu bilgileri desteklemektedir.
VETERİNER HEKİM FATİH ARSLAN PET İV VETERİNER KLİNİĞİ

